Dental Bridge
Before
After
Our patient had a loose front tooth and was worried about her smile and did not want implants. The doctor suggested extraction and a dental bridge for her. She was really happy and couldn't stop thanking the doctor. Wow!
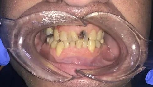
Dental Bridge & Crown
Before
After
Our patient had not been to the dentist in a long time. This caused the front teeth to have cavities and break. Check out the results from putting in a bridge and single crown after painless extraction. Our happy patient was able to smile again!!
Dental Bridge & Crowns
Before
After
Front tooth fell out due to a fracture. The remaining tooth was extracted and the bridge was done with 2 more crowns to make his smile more aesthetic. He was happy and smiled more confidently.
Implant Crowns
Before
After
Patient came in to replace missing teeth and we replaced it with implant crowns, restoring their smile.
Case 1
Before
After
Case 2
Before
After
Case 3
Before
After
Case 4
Before
After
Case 5
Before
After
Pagination
Get a brighter smile today!
Contact us now to schedule your appointment and have the smile you've dreamed about!